Jam Operasi

Cek disini untuk melihat jadwal buka klinik di Cabang Puri Indah & Tanjung Duren

Pasien Baru?

Hubungi kami di Nomor 081210235588

Dentia Dental Care Center

Dentia Dental
Aesthetic & Implant Center

Pages

Blog

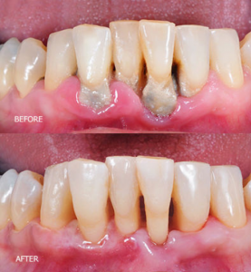
Gigi jadi lebih sensitif dan tampak renggang setelah perawatan scaling? Apakah itu wajar?

Scaling merupakan salah satu perawatan kedokteran gigi yang umum dilakukan sehari-hari, dan berupaya untuk menghilangkan karang gigi yang menempel pada permukaan gigi. Perawatan ini sangat dianjurkan bagi setiap individu untuk dilakukan secara rutin (3 – 6 bulan sekali), baik individu yang memiliki karang gigi sedikit ataupun banyak.

Perawatan scaling memiliki banyak sekali dampak positif bagi kesehatan gigi dan mulut, seperti:  gusi dan jaringan pendukung gigi menjadi lebih sehat, gigi terlihat cerah saat tersenyum, dan juga nafas menjadi lebih segar. Di samping banyak nya dampak positif, adakah efek samping dari perawatan scaling?

Gigi terasa lebih sensitif setelah scaling, apa yang menyebabkannya?

Berdasarkan survei yang dilakukan, sekitar 30% pasien mengeluhkan gigi sensitif dengan intensitas ringan hingga sedang pasca dilakukan perawatan scaling. Tapi tidak perlu takut, hal ini tidak bersifat permanen, umumnya keluhan ini akan berangsur hilang dalam beberapa hari dalam kurun waktu 1 minggu.

Hal ini disebabkan karena karang gigi yang sudah terakumulasi dalam waktu yang cukup lama tidak hanya meliputi permukaan gigi, tapi juga ke bagian akar gigi dan menyebabkan penurunan pada gusi. Padahal, bagian akar gigi memiliki lapisan yang lebih tipis sehingga bagian ini jauh lebih sensitif. Ketika karang gigi yang menempel pada permukaan akar telah hilang melalui proses scaling, maka bagian akar gigi akan terekspos dan hal ini akan menimbulkan gigi lebih sensitif terhadap rangsangan sementara waktu, dan terkadang terasa “ngilu” saat terkena air.

Apabila gigi terasa sensitif setelah perawatan scaling, berikut adalah hal-hal yang bisa dilakukan untuk mengatasinya:

  • Hindari konsumsi hal-hal yang dapat menimbulkan rangsangan pada gigi, seperti makanan dan minuman panas, dingin, asam, terlalu manis, dan juga soda
  • Menyikat gigi dengan menggunakan pasta gigi khusus untuk gigi sensitif yang memiliki bahan aktif untuk memberikan perlindungan pada gigi dari rasa ngilu
  • Apabila rasa sensitif yang dirasakan tidak kunjung hilang dalam kurun waktu 1 minggu, segera kembali ke dokter gigi untuk perawatan selanjutnya
 
Gigi jadi terlihat renggang setelah scaling, apakah itu permanen?
 

 

(sumber: https://drkeithdentalclinic.com/deep-scaling-polishing/)

Selain gigi terasa lebih sensitif, gigi terasa renggang juga menjadi salah satu efek samping yang paling sering dirasakan oleh pasien. Adanya penurunan gusi akibat akumulasi karang gigi, juga dapat menimbulkan keluhan gigi terasa renggang pasca dilakukan scaling. Sebelum karang gigi dibersihkan, sela-sela antar gigi tertutup oleh karang gigi, sehingga gigi terasa lebih “rapat”. Setelah scaling dilakukan dan tidak ada lagi karang gigi yang mengganjal di sela-sela gigi, hal ini yang menjadi penyebab gigi terasa lebih renggang.

Sedikit berbeda dengan kondisi gigi sensitif yang bertahan kurang dari 1 minggu, ternyata kondisi gigi renggang pasca perawatan scaling dapat bersifat sementara maupun permanen. Hal ini dipengaruhi oleh tingkat peradangan yang terjadi akibat adanya karang gigi. Jika peradangan yang terjadi hanya terbatas pada gusi (gingivitis), maka setelah karang gigi hilang, gusi yang awalnya turun akan secara perlahan kembali sembuh dan menutupi permukaan akar dalam jangka waktu 1 – 2 minggu, sehingga gigi yang awalnya terlihat renggang akan menjadi rapat kembali. Akan tetapi, jika ternyata peradangan yang diakibatkan oleh karang gigi sudah berlanjut dan menyebabkan kerusakan pada jaringan penyanggah gigi lainnya termasuk tulang (periodontitis), maka tulang yang menyanggah gigi akan turun dan kondisi gigi yang renggang tidak akan dapat kembali seperti semula.

Maka dari itu, tunggu apa lagi, jangan biarkan karang gigi merusak gusi dan tulang mu. Dentia Dental Care Center menyediakan Dentia Spa, yaitu program khusus untuk perawatan scaling. Untuk informasi lebih lanjut, hubungi klinik kami 0812-1023-5588 (Call/WA).

By: drg. Gracia Anfelia

Sumber

Tammaro, S. Wennström, JL. Bergenhoitz, G. (2001). Root-dentin Sensitivity Following Non-surgical Periodontal Treatment. Journal of Clinical Periodontology, 27(9), 690-691.

Trombelli, L. Farina, R. Silva, CO. Tatakis DN. (2017). Plaque-induced Gingivitis: Case Definition and Diagnostic Considerations. Journal of Clinical Periodontology, 45(20), 44-46.

Dentia Puri
 

 Jadwal Operasi

Klinik Tanjung Duren
Senin – Jumat                       10.00 – 19.00
Sabtu                                       10.00 – 16.00

Klinik Puri

Senin – Jumat                       14.00 – 19.00
Sabtu                                       09.00 – 13.00

Jadwal diperbaharui tanggal: 28 November 2020

 

Get in touch

Kontak Kami Sekarang